
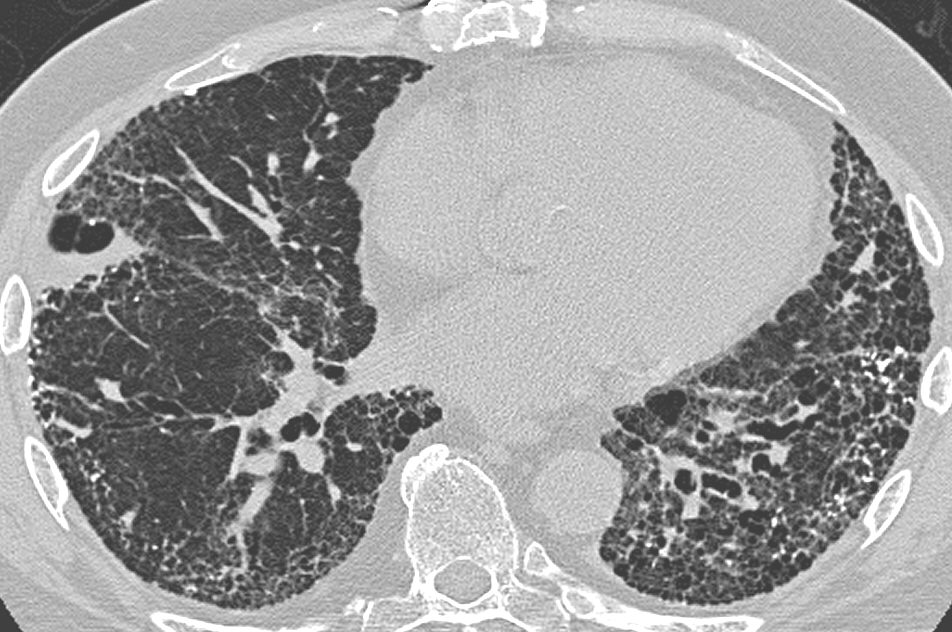
Foto: El aprendizaje automático a menudo requiere masivos conjuntos de datos para desarrollar un algoritmo eficaz, pero para esta competición a los equipos solo se les proporcionaron 2.000 imágenes.
Una competición con el objetivo de automatizar la detección del cáncer de pulmón demuestra que el aprendizaje automático podría estar listo para revolucionar las imágenes médicas. El reto ofreció un millón de dólares (unos 918.000 euros) en premios para los algoritmos que identificaran con mayor precisión señales del cáncer de pulmón en imágenes de tomografía computarizada (TC) de baja dosis. Los algoritmos ganadores no necesariamente serán adoptados por médicos, pero podrían inspirar innovaciones algorítmicas que acaben siendo integradas en las imágenes médicas.
Los escaneos de TC de baja dosis son muy útiles para detectar el cáncer de pulmón en fases poco avanzadas. Esta técnica emplea menos radiación y no requiere la inyección de un tinte de contraste. Pero el diagnóstico es muy difícil, lo que implica una alta tasa de falsos positivos y demasiados procedimientos médicos innecesarios.
Dentro de las técnicas de aprendizaje automático, el aprendizaje profundo resulta especialmente eficaz a la hora de encontrar patrones dentro de las imágenes (ver Aprendizaje profundo). Así que cada vez hay más esperanzas de que las máquinas inteligentes ayuden a mejorar los diagnósticos médicos al reconocer patrones que indican enfermedades de forma automática. Los ordenadores podrían llegar a detectar pistas demasiado sutiles para el ojo humano.
El aprendizaje profundo ya ha logrado detectar el cáncer de piel a partir de imágenes con un margen de error similar a los dermatólogos humanos. Y la técnica también ha resultado útil para indicar una causa común de la ceguera en imágenes retinianas. Así que tanto médicos como emprendedores tienen un creciente interés cada vez mayor por aumentar el alcance de la técnica. Pero a medida que eso se vaya consiguiendo, tal vez sea necesario mejorar la capacidad de los algoritmos para que expliquen cómo han alcanzado sus conclusiones (ver El secreto más oscuro de la inteligencia artificial: ¿por qué hace lo que hace?).
Los datos de las imágenes empleadas en competición procedieron del Instituto Nacional del Cáncer de Estados Unidos. El director del reto, Keyvan Farahani, asegura que reducir el número de falsos positivos en los diagnósticos de cáncer de pulmón basados en imágenes de TC de baja dosis marcaría una importante diferencia para los pacientes. Se detectan alrededor de 222.500 casos nuevos de cáncer de pulmón en Estados Unidos cada año, según la Sociedad Estadounidense para el Cáncer.
Farahani señala que los programas de software actuales para identificar las señales del cáncer de pulmón son poco fiables. «Los resultados preliminares sugieren que [los mejores algoritmos] superan a los disponibles actualmente», afirma. Pero en su opinión, estos programas no sustituirán a los médicos. El experto matiza: «El aprendizaje profundo ayudará a digerir grandes cantidades de datos, pero no creo que vaya a reemplazar a los médicos ni a los radiólogos«.
Uno de los desafíos claves de esta competición fue el hecho de que sólo había 2.000 imágenes a disposición de los equipos. El aprendizaje automático a menudo requiere enormes conjuntos de datos para desarrollar un algoritmo eficaz. Por eso, además de las imágenes, los participantes tenían otros datos complementarios, como las especificaciones de los equipos empleados para sacar las imágenes.
El equipo ganador empleó una red neuronal, a la que ayudó etiquetando más imágenes para proporcionar más puntos de datos. También utilizó un conjunto de datos adicional, y dividió el reto en dos partes. Primero tenía que identificar moléculas y después diagnosticar el cáncer. Aún no está claro cómo se podría comparar el rendimiento de este algoritmo ganador con un médico humano, porque los programas estiman probabilidades en lugar de ofrecer resultados definitivos.
El miembro del equipo ganador y alumno de la Universidad Tsinghua , una de las instituciones académicas más destacadas de China, Zhe Li detalla su trabajo: «Creemos que dividir explícitamente este problema en dos fases es crítico, y se parece al proceso que llevarían a cabo los expertos humanos«.
Además de señalar el potencial del aprendizaje profundo con las imágenes médicas, la competición también subraya la creciente reputación de los investigadores chinos en inteligencia artificial.
La competición, impulsada por la página web de ciencias de datos Kaggle, fue organizada por Booz Allen Hamilton, una empresa de consultoría de gestión que ha organizado varias competiciones de ciencias de datos. El millón de dólares en premios fue aportado por varios patrocinadores distintos, como la Fundación Laura y John Arnold, el Colegio Estadounidense de Radiólogos, Nvidia y Amazon. Kaggle fue fundada en 2010 y adquirida este año por Google. La página web se ha alzado como una potente manera de financiar el desarrollo de algoritmos de aprendizaje automático mediante el crowdsourcing, y también es buena estrategia para identificar talento.
Josh Sullivan, que lidera el equipo de ciencia de datos de Booz Allen Hamilton, explica que la adquisición de talento fue una de las razones para lanzar la competición y señala que 238 participantes solicitaron puestos en la empresa. Añade que la compañía está poniendo los algoritmos ganadores a disposición de todos, de manera gratuita, para maximizar los beneficios en potencia para la comunidad médica.
A Li, del equipo ganador, el hecho de desarrollar algo que podría salvar vidas resulta gratificante, pero el motivo real de su participación fue algo menos altruista. El ganador concluye: «Si soy sincero, la principal motivación consistía en obtener el dinero del premio».





